H5N1 Alert: Minister Urges Public to Take Pre..
The Health Minister has issued a public advisory urging citizens to take precautionary measures in response to the H5N1 outbreak, commonly known as bi...
Stay updated with the latest news, stories, and insights that matter — fast, accurate, and unbiased. Powered by facts, driven by you.
The Health Minister has issued a public advisory urging citizens to take precautionary measures in response to the H5N1 outbreak, commonly known as bi...
In a landmark decision for obesity treatment, the U.S. Food and Drug Administration (FDA) has approved the first oral version of the weight‑loss drug...
Recent research has raised concerns about the daily consumption of artificial sweeteners and their potential impact on cardiovascular health. Studies...
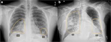
India has seen a noticeable rise in influenza alerts in recent weeks, prompting health authorities and medical professionals to urge caution, especial...
Women in India are showing a greater willingness than men to donate organs after death, according to data from 21 major States, where 17 reported high...
In a deeply concerning development, several children in Satna district of Madhya Pradesh have tested positive for HIV, prompting swift action by the s...
A series of alarming paediatric emergencies has prompted India’s food regulator to take decisive action against the misuse of the term “ORS” in commer...
Hard water is a common yet often overlooked cause of hair problems. Water is termed “hard” when it contains high levels of minerals such as calcium an...
Air pollution in Indian cities has traditionally been linked to vehicular emissions, industrial smoke, and particulate matter such as PM2.5 and PM10....
A recent autopsy-based study conducted by the All India Institute of Medical Sciences (AIIMS) has found no scientific evidence linking Covid-19 vaccin...
Get all the top stories from Blogs to keep track.

